親知らずは必ず抜歯しなければいけないわけではありません
患者さんから、「親知らずは必ず抜歯しなければいけないのですか?」という相談を受けることがあります。結論から申し上げると、患者さんのお口の状況によって異なります。斜めや横向きに生えていたり、歯列を圧迫している場合は早めに抜歯をするのが望ましいですが、正常な位置にまっすぐ生えている場合は無理に抜歯する必要はありません。親知らずを残しておくことで、将来的に入れ歯やブリッジの土台になる可能性があるからです。
「口腔外科学会専門医」が在籍
親知らずの抜歯は、難症例のケースですと、大学病院を紹介されることがあります。理由としては、出血や神経麻痺などのリスクが大きいからです。
当院には日本口腔外科学会専門医、日本口腔内科学会専門医在籍しております。即日抜歯ご希望の方はご連絡ください。
難症例であっても安全に治療を行うことができます。大学病院は予約が取りづらいという面もありますので、親知らずの抜歯を検討されている方は、ぜひ当院へご相談ください。
「伝達麻酔」で麻酔効果を長時間かつ広範囲に
お口の中は奥にいくほど麻酔が効きにくくなると言われています。そのため、通常の治療で使用する麻酔(浸透麻酔)では痛みを感じるケースがあります。そこで当院では、浸透麻酔に加えて、「伝達麻酔」を併用しています。
伝達麻酔は、浸透麻酔よりも効果が広範囲かつ長時間続くという特長があるため、患者さんの痛みが軽減され、安心して治療を受けられます。
親知らずを抜歯する際のメリットとデメリットについて
メリット
- 歯ブラシが奥まで届きやすくなり、虫歯や歯周病のリスクを減らせる
- 磨き残しが減り口臭が改善されやすくなる
デメリット
- 治療後、数日間腫れることがある
- 抜歯してできた穴に食べ物が詰まる(穴は1か月程度で塞がっていきます)
親知らずを抜くかどうかは患者の歯や口の状態によって異なります。まずは歯科医師と相談し、検査と診断を受けることをお勧めします。
「安全性」の追求
親知らずの抜歯は、処置が容易なケースから難症例と呼ばれるケースまでさまざまです。そのため、事前の診察・診断をしっかり行わなければ、予期せず治療が長時間に及んだり、出血が多くなったり、一時的に麻痺が生じることもあります。こうした事態を回避するために、当院では「CT」を導入し、正確な診断を行うよう努めています。
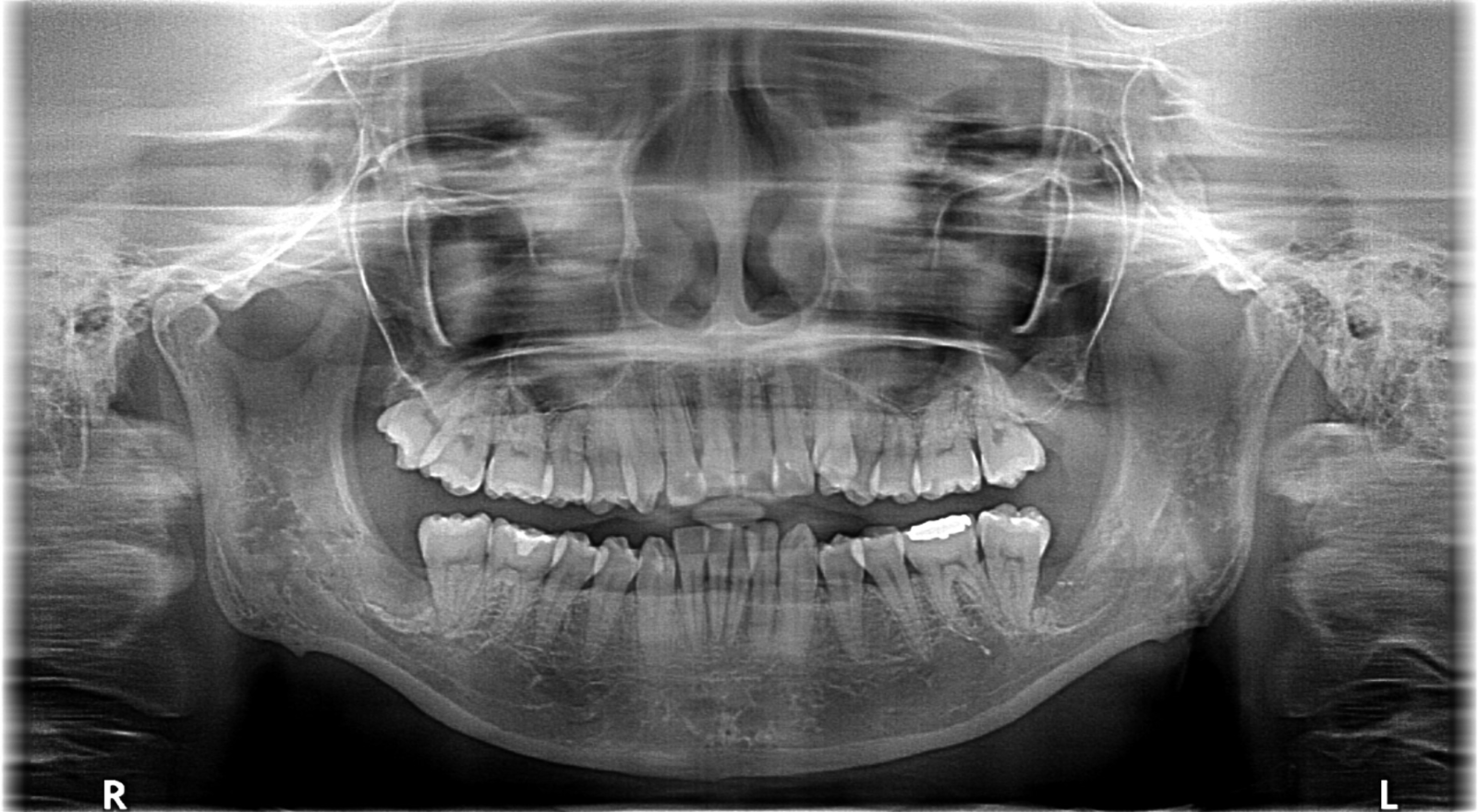
「CT」による診察・診断
CTは一般的なレントゲンとは異なり、顎の骨の厚さや神経までをも確認できます。そのため、埋伏歯など対応の難しい症例でも事前に精密に分析も可能になり、余分な切開や骨の切削などを避けることができ、治療の安全性・精度を大きく向上させることができます。
女性の方へ:親知らずの抜歯は妊娠前に行いましょう
妊娠中は、ホルモンバランスの変化によって虫歯や歯周病になりやすいと言われています。そのため、親知らず周辺の歯茎が腫れて急に痛み出すというケースも少なくありません。ただし、妊娠中に親知らずの抜歯をすると、通常通りの処置が行えない可能性が高いです。なぜなら、お腹の赤ちゃんへの影響を考慮し、レントゲンや麻酔、内服薬といった処置に制限がかかる可能性があるからです。そのため、親知らずの抜歯は可能な限り妊娠前に行っておくことをおすすめします。
コラム抜歯中の「痛み」「恐怖心」を緩和
抜歯は通常の歯科治療よりも痛みや不安が強い処置になります。患者さんによっては「痛みに耐えられる心配」「恐怖で治療を受けられる自信がない」、そのように思われる方もいると思います。
当院では鎮静薬を点滴で投与する「睡眠無痛治療(保険外」」を行っています。ウトウトとした状態で治療を受けられることで、治療中の痛みや恐怖心を感じることもありません。歯科恐怖症の方や嘔吐反射の強い方など、ご希望の方は一度ご相談ください。
※自費診療となります
親知らずの抜歯に関するQ&A
親知らずを上下左右均等に抜歯すべきですか?
必ずしもそうとは限りません。ただし、片方の親知らずが痛み始めた場合、もう片方の親知らずも問題を抱えている可能性があります。両方抜歯すべきかどうかは、歯科医と相談して決めるべきです。
親知らずが歯並びに影響を与えることはありますか?
親知らずが横や斜めに生えている場合、歯並びに影響を及ぼす可能性があります。
どんな親知らずでも抜歯してもらえますか?
当院では、ほとんどの親知らずの抜歯に対応しています。ただし、心臓病や糖尿病など、歯科治療における全身的なリスクが高い方や、極度の歯科恐怖症で全身麻酔が必要な方、親知らずを抜歯する際に神経や血管が損傷する可能性が高い方などのケースでは、より専門的な機関への紹介も考慮されることがあります。
初診「個別」相談へのご案内
当院では、患者さんが抱えていらっしゃるお口のお悩みや疑問・不安などにお応えする機会を設けております。どんなことでも構いませんので、私たちにお話ししていただけたらと思います。
ご興味がある方は下記からお問い合わせください。

〒060-0808
北海道札幌市北区北8条西1丁目3番地
さつきた8・1 A棟3階