2025年4月24日
①接着と合着
②接着材はCR?
③内側性窩洞の危うさ
①接着と合着
歯科における
接着は2つの物質間で化学的に結合ないし接合することであります。
化学結合の種類
ちょうど分子間力に関する動画があったので見てみましょう
合着は物理的な接合(機械的嵌合効力や摩擦力)のみで2つの被着体が一体化する場合にいいます。
さて、では金属、ジルコニア、emax Press(二ケイ酸リチウムガラスセラミック)、CADの三つの接着についてみていきます
シリカとシランカップリング剤による加水分解と脱水縮合反応による化学結合ですね。
じゃあクラウンとインレー、アンレー、ベニアの脱離を防ぐための機構をおさらい!!
クラウン
クラウン(被せ物)では当然テーパーが重要。
つまりテーパーがない場合
金属冠❌
ジルコニア冠△
emax⭕️
CAD冠△
ここに書いてある文言はとても自分の接着に対する考えを言語化しています。

シリカを主成分とするセラミックスは機械的強度の面から,支台歯への装着にはレジン系装着材料を使用することが必須である.しかしながら,機械的強度が格段に向上したシリカを主成分としないセラミックスにおいては,接着は必須ではないと考えられている40,41)
40)TinschertJ,NattG,MautschW,AugthunM,Spieker-
mannH.Fractureresistanceoflithiumdisilicate-,
alumina-,andzirconia-basedthree-unitfixedpartial
dentures:alaboratorystudy.IntJProsthodont2001;
14:231‒238.
41)RosentrittM,BehrM,ThallerC,RudolphH,FeilzerA.
Fractureperformanceofcomputer-aidedmanufac-
turedzirconiaandalloycrowns.QuintessenceInt
2009;40:655‒662.
臨床において,セラミック修復物をより審美的にするために,支台歯のフィニッシュラインを歯肉縁下に設定することが多い.フィニッシュラインを歯肉縁下に設定することにより,修復物と支台歯の境界が検出されにくい,歯肉縁付近の歯肉の色が明るい,歯肉縁下から修復物のカントゥアを設計することが可能であるなどの審美的な利点が生じる.シリカを主成分とするセラミックスの場合は,レジン系装着材料の使用が必須のため,装着後の残余セメントの除去が困難であり,支台歯フィニッシュラインは歯肉頂縁あるいは縁上に設定される.一方,従来型の歯科用セメント(グラスアイオノマーセメントなど)での装着が可能なシリカを主成分としないセラミックスを用いた場合は,残余セメントの除去は容易になり,フィニッシュラインを歯肉縁下に設定することが可能となる.したがって,支台歯の状態や咬合関係などに制限がない症例であれば,シリカを主成分としないセラミックスを用いた修復物では,従来型の歯科用セメントでの装着が可能である (図1,2) 39) .しかしながら,歯冠高径あるいは修復物の維持力が不足している症例においては,レジン系装着材料の装着が推奨される.シリカを主成分としないセラミックスを使用した接着ブリッジも臨床応用されているが,その場合は支台歯への確実
な接着が必要となる 42)
42)KomineF,TomicM.Asingle-retainerzirconiumdiox-
ideceramicresin-bondedfixedpartialdenturefor
singletoothreplacement:aclinicalreport.JOralSci
2005;47:139‒142.
ようやくするとemaxは歯肉縁上にフィニッシュラインを設定してレジン系で接着、ジルコニアはグラスアイオノマー系で合着。
しかしテーパーがきちっとしてないと歯肉縁上でレジン系でどちらもつけないといけないよっと。

実際には6度〜20度とテーパーを変えても補綴のセメントスペースを技工士さんがどうしてるかによって維持力が変わります。
インレーとアンレー
メタルインレーもメタルアンレーもほぼやらないですが形態がとても大事なので知識として記しておきます。京成ってこんな感じですよね。

Blackの窩洞の原則
(1)First, obtain the required outline form(窩洞外形)
(2)Second, obtain the required resistance form(抵抗形態);脂質や修復物の破折を防ぐための形態

中の角を丸める、箱型窩洞、窩底部に咬合力に抵抗するための面を作る
(3)Third, obtain the required retention form(保持形態);基本は箱型でテーパーを少なくすることで得られます。補助的なもので鳩尾形態とかグルーブとか
(4)Fourth, obtain the required convenience form(便宜形態);内面をなだらかな丸みをつけることで適合不良を少なくします。
(5)Fifth, remove any remaining carious dentin(う蝕象牙質の除去)
(6)Sixth, finish the enamel wall(窩縁形態);鋳造による形態変化を補償するためにつける窩縁斜面のことです。

(7)Seventh, make the toilet of the cavity(窩洞の清掃)
ただ、今の日本でこれが守られることはありません。なぜかというと
①補綴を維持するために削る量が多い
②メタルの高騰によってメタル量を少なくするために箱型窩洞をなくす
③そもそもメタルインレーに対する知識と技術結構必要なのに保険安すぎ
④不勉強な若者多すぎ
今はセラミック修復、レジン修復が増えたのでこの考えは今のMIの考えに沿わないですよね。
MIとは何か。。
FDI STATEMENT: Minimal Intervention in the Management of Dental Caries ってのがありまして。
1. early detection of carious lesions and assessment of caries risk and activity;
2. remineralisation of demineralised enamel and dentine;
3. optimal measurements to keep sound teeth sound;
4. tailor-made dental recalls;
5. minimally invasive operative interventions to ensure tooth survival;
6. repairing rather than replacing defective restorations
1. う蝕病変の早期発見、う蝕リスクと活動性の評価;
2. 脱灰したエナメル質と象牙質の再石灰化;
3. 健全な歯を維持するための最適な測定;
4. オーダーメイドの歯科リコール
5.歯の生存を確実にするための低侵襲な手術介入;
6. 欠陥のある修復物を交換するのではなく、修復する
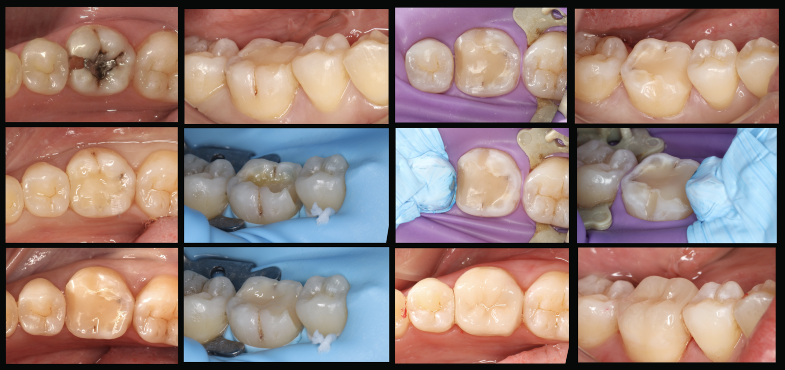
メタルはそもそも外れにくくするための予防拡大を基本とするために接着力が上がった現在は接着修復がメインになりましたね。
セラミック修復ではどうでしょうか。形成は少なく、かどうは自由。

大事なのはIDS(immediate dentin sealing)

接着力を向上させるために必要なんです!!もちろん皆さんもラバーしてますよね。
次回は接着材はCR?です
当院では、患者さんが抱えていらっしゃるお口のお悩みや疑問・不安などにお応えする機会を設けております。どんなことでも構いませんので、私たちにお話ししていただけたらと思います。
ご興味がある方は下記からお問い合わせください。